はじめに
伊都・橋本地域の頭部外傷、脳卒中に対し24時間体制で救急に対応しています。
入院患者内脳卒中患者は7割近くに及び、年々増加しています。

伊都・橋本地域の頭部外傷、脳卒中に対し24時間体制で救急に対応しています。
入院患者内脳卒中患者は7割近くに及び、年々増加しています。
当科は一般外来および入院患者さんの診療に加え、伊都、橋本地域の頭部外傷、脳卒中に対応しております。2023年度 入院患者内脳卒中患者は半数近くに及び、年々増加しています。当科は、日本脳神経外科学会研修施設のみならず日本脳卒中学会認定教育施設であり超急性期脳梗塞にはCode Stroke systemを整備し、救急隊から直接連絡を受け、その時点から、対応準備し、治療までのtime をいかに短縮し、経静脈的血栓溶解療法,機械的血栓回収術の恩恵をより多くの患者さんに受けて頂くよう連携をとっています。
当科では県下で数施設でしか行えない「画像支援ナビゲーション手術」を行っています。この手術で使用されるMedtronic社製のニューロナビゲーターStealthStation S8は、自動車の道案内に用いられる‘カーナビ’のようなものです。 病変部と周辺組織の立体的位置を正確に表示してくれるため、手術の際にどこを切開しどのように進めば安全に病変部まで到達できるのか、といったことが一目瞭然です。その結果、神経や血管を傷つけることなく安全に病変部を取り除くことができるようになり脳腫瘍の治療で成果をあげています。さらに、重要脳神経や重要機能を司る脳(手足の動き、言語)近傍脳腫瘍摘出時には神経モニタリングを併用し画像支援ナビゲーションと共に病変部を切除する精度を高めるだけでなく安全性の向上に努めています。
また和歌山県下では数少ない専門外来 平成25年9月からは、「物忘れ外来」(担当:大饗医師))を開設しております。
平成30年4月から最新式血管撮影装置が稼働し、血管内手術にも対応できるようになりました。
超急性期脳梗塞(tPA療法、血管内手術)
脳梗塞は、一度起こってしまうと改善が難しい病気ですが、現在、発症4.5時間以内の脳梗塞患者に対してtPA(アルテプラーゼ静注)療法が認可されております。当センターでも、これら早期の脳梗塞患者にtPA療法を積極的に行なっております。また、大血管閉塞例に対しては、血管内治療(血栓回収デバイスによる再開通術)を行なっております。
2023年は、160症例の脳梗塞患者が救急搬送され、16症例に機械的血栓回収術を行ないました。
(左中大脳動脈閉塞)
(血栓回収デバイス、血管が再開通している)
内頚動脈狭窄症は、首のところで脳へ行く血管が細くなり、引いては脳梗塞を引き起こす病気です。当科の特徴として、この病気に対し、頚部の切開を必要としない血管内治療(経皮的頚動脈ステント留置術;CAS)を積極的に行っています。2020年は、11人の患者さんに頚動脈ステント留置術を行ない、合併症無く治療を行いました。また症例によりますが、頭蓋骨の中の脳血管狭窄症などに対してもバルーンによる拡張術(PTA)やステント留置術も行っております。
術前(狭窄部;矢印)
(バルーン拡張;矢印)
ステント留置術後
(狭窄部が改善している;矢印)
脳内出血
脳内出血は脳卒中のなかで、脳梗塞についで多い疾患で、出血量の少ない症例は保存的に加療しますが、出血量が30mlを越える症例については、機能的予後改善を目指し、症例を選んで定位的血腫吸引除去術を行っています。下記のような出血症例も、全身麻酔は不要で、駒井式定位脳手術装置用いて手術を行っています。
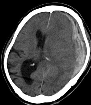
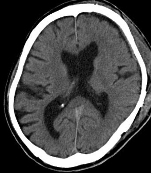
術前(左被殻出血)
駒井式定位脳手術装置を用いて血腫を吸引している(局所麻酔下)
定位的血腫吸引術後 被殻出血は除去されている
脳動脈瘤(くも膜下出血、未破裂脳動脈瘤)
くも膜下出血は、脳動脈の分岐部に瘤(こぶ)ができ、それが徐々に大きくなって破裂して起こります。一方、脳ドックなどで破れる前に見つかった動脈瘤を「未破裂脳動脈瘤」と呼びます。
2023年は、13名のくも膜下出血患者さんが当センターに救急搬送され、最重症例を除く10名に対して根治手術開頭ネッククリッピング術3例、コイル塞栓術7例を行ないました。当科の特徴として、「開頭ネッククリッピング術」、「コイル塞栓術」も行っており、どちらの治療が最良であるか検討し、治療方法を選択しています。
ネッククリッピング術後(クリップにて動脈瘤消失)
(動脈瘤は虚脱している)
脳腫瘍(ナビゲーション手術、術中神経モニタリング併用)
当科では「画像支援ナビゲーション手術」を行っています。この手術で使用されるMedtronic社製のニューロナビゲーターStealth Station 8は、光学式のみならず磁場式トラッキングシステムを搭載しており、自動車の道案内に用いられる‘カーナビ’のように病変部と周辺組織の立体的位置を正確に表示してくれます。そのため、手術の際にどこを切開しどのように進めば安全に病変部まで到達できるのか、といったことが一目瞭然です。その結果、神経や血管を傷つけることなく安全に病変部を取り除くことができるようになり脳腫瘍の治療で成果をあげています。さらに、重要脳神経や重要機能を司る脳(手足の動き、言語)近傍脳腫瘍摘出時には神経モニタリングを併用し、画像支援ナビゲーションと共に病変部を切除する精度を高めるだけでなく安全性の向上にも役立っています。
(Medtronic社、SteathStation S8)
(神経モニタリング)
(術中ABR)


脳幹周囲の脳腫瘍も、比較的安全に摘出可能
頭部外傷
平成26年4月より、高度治療室(HCU)を開設し、術後は頭蓋内圧モニター、局所脳酸素飽和度モニターなどの最新機器を用いて周術期管理を行い救命、機能予後の改善に努めております。

(急性硬膜下血腫術前:血腫厚2cm, 正中偏移みられる)

(急性硬膜下血腫術後:血腫は除去され、正中偏移は改善)
頭部打撲後、1-2ヶ月して急に認知症が進んできた、ふらついて、足をひきずるようになってくる病気。
年のせいとはじめは放置されることがあり、症状が進行してきて来院されることが多いです。
脳を覆う硬膜の下に慢性的に血腫が溜まった状態で、手術にて改善する可能性の高い疾患
血腫が溜まって脳を圧迫
局所麻酔下で、穿頭を行い血腫を注射器で除去している
治る認知症があるのをご存知ですか?
はっきりとした原因がないのに歩きにくくなったり、認知症、尿失禁の症状が出た場合、「特発性正常圧水頭症」という病気の可能性があります。このような症状は、パーキンソン病や脳卒中、あるいはアルツハイマー型認知症などでもみられますが、数%の割合で、「特発性正常圧水頭症」という病気が含まれていることがあります。この病気は適切な診断ができれば、髄液シャント術という手術で症状の改善が得られます。また、当科の特色として、頭に傷をつけなくてもよい腰椎―腹腔シャント術(LPシャント)も積極的に行なっております。
小刻み歩行(小股でよちよち歩く)、開脚歩行(足を開き気味にして歩く)、すり足歩行(足が挙がらない状態)、不安定でよく転倒する、第一歩がでない、突進歩行(うまく止まることができない)、歩くと左右どちらかに傾いてしまう、などがあります。
(正常圧水頭症患者MR冠状断)
(挿入するバルブ)
腰椎―腹腔シャント術後
三叉神経痛・片側顔面けいれん
(準備中)
認知症
当科では一般脳神経外科以外に専門外来を開設しています
物忘れ外来では、物忘れを主症状とする疾患、特に認知症の診断、治療を行います。認知症とは、記憶力や判断力が徐々に低下し、日常生活を送ることが困難となってくる病気です。専門外来での診断・治療により進行を遅らせ日常生活を支障なく送れるようにするためのサポートを行います。認知症を生じる病気の中には、脳手術で治療可能なもの(正常圧水頭症、慢性硬膜下血腫、脳腫瘍)もあります。認知機能検査や画像検査(脳のCTスキャンやMRI検査、脳血流SPECT検査など)を行い、診断していきます。
アルツハイマー型認知症であっても、進行を遅らせる薬があり、今までは1種類しかありませんでしたが、平成23年からはさらに3種類の新しい薬がでています(飲み薬と貼り薬があります)。その他、脳梗塞などからくる脳血管性認知症や、幻視やパーキンソン症候群を特徴とするレビー小体型認知症なども含めさまざまな認知症の診断・治療もおこなっております。認知症の薬が4種類となり、治療の選択肢が増えたことによりその方にあった薬が選べるようになりました。(メマンチンは、他の3つとは作用機序が違っているため、他の薬と一緒に併用して飲むこともできます。)また、これらの薬は、アルツハイマー型認知症に対してのみ効果が認められていますが、ドネペジル塩酸塩は、平成26年からレビー小体型認知症に対しても効果が認められるようになり、使用可能になっています。4種類の薬は、それぞれ効果の出方や、副作用の出方が違っており、またその人によって個人差も大きいので、副作用に注意して、その人にあったものを選択していくというのが、物忘れ外来での大きな役割になります。平成29年11月からは、看護部の協力により、物忘れ外来の待ち時間を利用して、「まちカフェ」と題して、ご本人や家族の方が参加できる場を設けています。会話をしたり、脳の活性化に繋がるレクリエーションをしたりと、楽しんで頂く他に、日頃のご本人や家族の方の悩みなどをスタッフが聞かせて頂いております。
認知症は、早期発見・早期治療が大切ですので、できるだけ早く医療機関を受診して下さい。物忘れが気になる方や、認知症が始まったのではないかと心配な方に、物忘れが年齢による物忘れなのか、病気による物忘れなのか、またどういった病気によるものなのかを診断し、それぞれに応じた治療を行いますので、お気軽にご相談下さい。
頭痛専門外来
(準備中)
以上が、当脳神経外科の紹介ですが、脳神経外科医師でこれ以外の病気にも可能な限り対応しておりますので、何かありましたら外来受診してください。
当科は、一般社団法人日本脳神経外科学会が運営する
データベース研究事業(Japan Neurosurgical Database:JND)に参加しています。
垣下 浩二
役職
副病院長・部長
専門領域
脳腫瘍の外科治療、脳卒中の外科治療、 神経機能の外科治療
所属学会(専門医等)
大饗 義仁
役職
部長
専門領域
脳腫瘍の外科治療、認知症治療
所属学会(専門医等)
土岐 尚嗣
役職
医長
専門領域
脳血管障害 脳血管内治療 脳卒中の外科治療
所属学会(専門医等)
| 月 | 火 | 水 | 木 | 金 | ||
|---|---|---|---|---|---|---|
| 1診 | 午前 | 初診 大饗 |
初診 垣下 |
初診 土岐 |
初診 垣下 |
|
| 2診 | 予約 垣下 |
予約 大饗 |
||||
予約患者優先
初診診察 10:00以降開始
2診:完全予約制
一日平均 外来患者数 34.2人
一日平均 入院患者数 10.8人
入院患者数(上位5疾患)

| 脳血管障害 | |
|---|---|
| 開頭ネッククリッピング術 | 2件 |
| 開頭血腫除去術 | 6件 |
| 定位的血腫吸引除去術 | 1件 |
| 脳動静脈奇形摘出術 | 0件 |
| バイパス術 | 0件 |
| 脳室ドレナージ術 | 3件 |
| 外減圧術 | 1件 |
| 脳腫瘍 | |
| 開頭脳腫瘍除去術 | 5件 |
| 経蝶型骨洞下垂体腫瘍摘出術 | 1件 |
| 生検術 | 0件 |
| 神経血管減圧術 | 0件 |
| 外傷 | |
| 開頭血腫除去術 | 3件 |
| 頭蓋形成術 | 3件 |
| 慢性硬膜下血腫穿孔頭洗浄術 | 37件 |
| 水頭症 | |
| 脳室腹腔シャント術 | 7件 |
| 腰椎くも膜下腹腔シャント術 | 0件 |
| 脳膿瘍排膿術 | 7件 |
| 感染 | |
| 脳膿瘍排膿術 | 0件 |
| その他 | 5件 |
TOP